Terceira vítima da doença morreu nesta terça-feira (11), no Hospital Municipal de Salvador. A origem da doença é desconhecida, não tem cura e outros dois pacientes que estavam infectados também morreram. Outras três pessoas estão infectadas em Salvador com essa mesma doença.
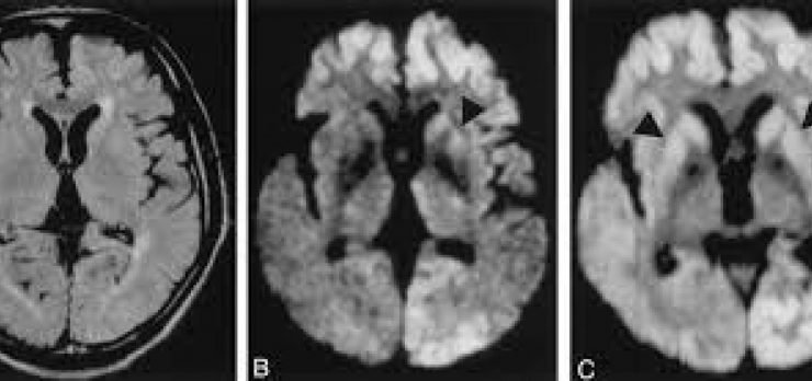
A Doença de Creutzfeld-Jakob provoca desordem cerebral, perda de memória e, de forma inevitável, leva à morte. A DCJ tem quatro tipos diferentes de manifestação.
A Secretaria de Saúde do Estado da Bahia (Sesab) e a SMS descartaram que os casos tenham relação com a Vaca Louca, infecção provocada por ingestão de carne ou derivados de origem bovina contaminados.
Por Metro1
Foto: Reprodução






